Mahaj Clinique Dentaire
Clinique Dentaire à Rabat - Référence des soins bucco-dentaires au Maroc
Rue Al Ijjass - HAY RIAD, 10100 RABAT
+212 537 571761
Mahaj Clinique Dentaire
Clinique Dentaire à Rabat - Référence des soins bucco-dentaires au Maroc

Les prothèses - Page 3

Comblement de sinus par voie latérale et implantation simultanée

Comblement de sinus par voie latérale et implantation simultanée

Maxillaire : all-on-4

Maxillaire : all-on-4

Maxillaire all-on-6 et comblement de sinus

Maxillaire all-on-6 et comblement de sinus

Maxillaire : bridge vissé sans fausse gencive

Maxillaire : bridge vissé sans fausse gencive

Mandibule complète et traitement implantaire pour un bridge fixe scellé

Mandibule complète et traitement implantaire pour un bridge fixe scellé

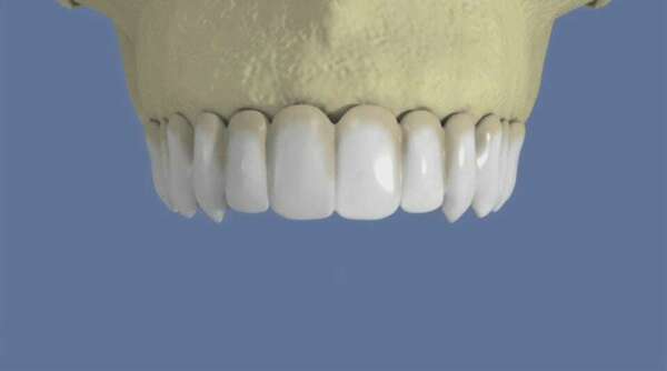
Maxillaire : bridge complet scellé sans fausse gencive

Maxillaire : bridge complet scellé sans fausse gencive

Affichage des articles 13-18 sur 34

Création par Webdentiste

Connexion