Mahaj Clinique Dentaire
Clinique Dentaire à Rabat - Référence des soins bucco-dentaires au Maroc
Rue Al Ijjass - HAY RIAD, 10100 RABAT
+212 537 571761
Mahaj Clinique Dentaire
Clinique Dentaire à Rabat - Référence des soins bucco-dentaires au Maroc

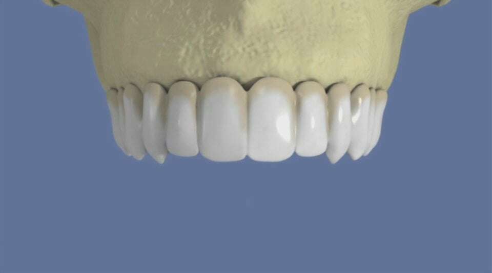
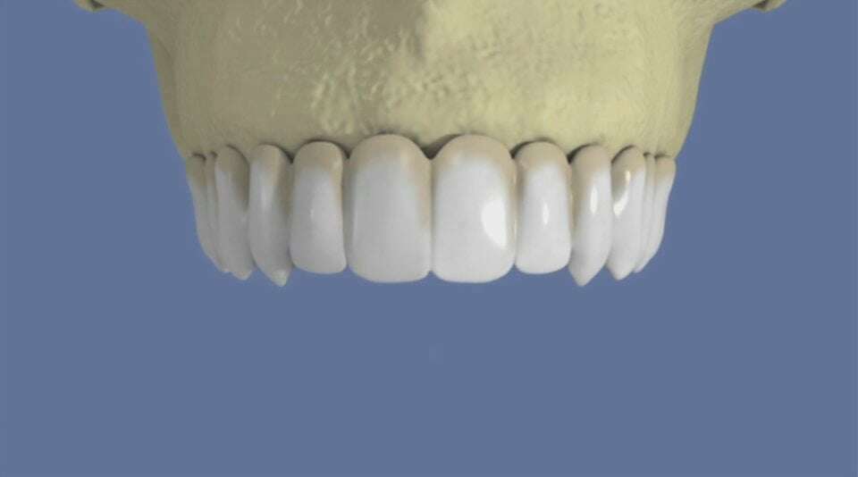
Maxillaire : bridge vissé sans fausse gencive


video-play-icon

Articles similaires

Création par Webdentiste

Connexion