Une photo vaut mieux que mille mots
Nous avons choisi une sélection de cas dentaires « avant et après » de nos patients pour vous permettre de découvrir les traitements et les procédures que vous propose la Clinique Mahaj Dentaire
Full Zircon sur Implants et couronnes céramiques
Réhabilitation avec Prothèses et Implants
ALL ON FOUR
Full Zircon sur Implants Haut et Bas
Cas D'Orthodontie + Facettes Céramiques Collées
Couronnes Céramo-Céramiques
Couronnes Céramo-Céramiques
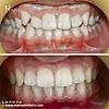
Orthodontie
Traitement Orthodontique MultiBagues
Réhabilitation Implantaire
Invisalign
